The Thinking Practitioner Podcast
w/ Til Luchau & Whitney Lowe
Episode 159: Can You Really Palpate the Psoas? (with Christopher DaPrato)
Transcript | Subscribe | Comments | ⭑⭑⭑⭑⭑
Or, listen and subscribe on Apple Podcasts, Spotify, wherever you get your podcasts!
🎁 Scroll down for the full video and transcript!
🎙 Can You Really Palpate the Psoas? MRI Evidence, Clinical Debate & a Bonus Visit from the Researcher
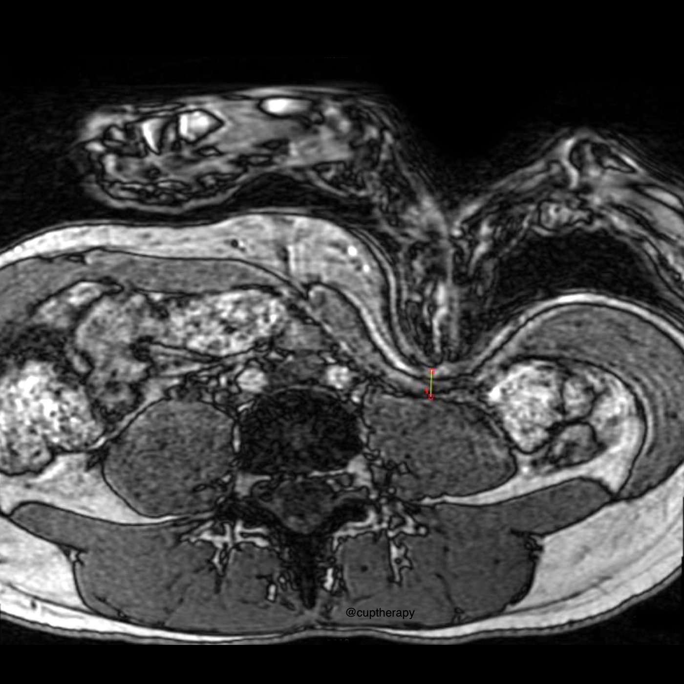
Can manual therapists actually palpate the psoas, or is it anatomically out of reach? In this episode, Til Luchau and Whitney Lowe unpack a new real-time MRI pilot study presented at the 7th International Fascia Research Congress by UCSF physical therapist Christopher DaPrato and colleagues. The study offers rare imaging-based insight into what really happens when we try to touch this deep, controversial muscle. And at the end, Christopher drops in for a brief bonus segment to share safety insights and his hopes for future research.
The debate around psoas palpation has become a kind of proxy war in manual therapy — between pain-science and movement educators who question highly specific anatomical claims, and hands-on practitioners who have used psoas work for decades and find it clinically meaningful. This conversation explores how DaPrato’s imaging helps reframe that debate.
In this episode, they discuss:
– Why psoas palpation has become a flashpoint debate and a stand-in for deeper philosophical disagreements in the field
– How DaPrato’s team used dynamic MRI to observe what happens under the hands during attempted psoas palpation
– What the images showed about depth, tissue layers, and muscle deformation when pressure is applied
– The surprising finding that even a higher-BMI participant showed clear psoas shape change under palpation
– How viscera behaved under pressure — including what the study suggests about visceral compression and safety
– Clinical implications for angle, depth, and pressure when working in the anterior hip/abdominal region
– The role of tools like the PSO-RITE compared with hand palpation, and what may (or may not) be interchangeable
– How this research interacts with the idea of “palpatory pareidolia” (imagining specificity that isn’t there)
– What this study does — and doesn’t — say about treatment effectiveness and future research priorities
– And in a bonus segment, Christopher DaPrato joins Til to talk safety, visceral sliding, and practical precautions for working this sensitive region
Whether you regularly include psoas work in your sessions, or you’re skeptical of deep abdominal palpation claims, this episode offers a nuanced, evidence-informed look at what our hands may — and may not — be doing.
✨ Resources
👉 DaPrato et al. pilot study abstract (MRI of psoas palpation): https://www.cuptherapy.com/_files/ugd/12c814_c0500f355036456eb450562461ff267c.pdf
👉 Thinking Practitioner Ep 25: https://podcasts.apple.com/us/podcast/25-psoas-work-is-it-safe-is-it-necessary/id1492004207?i=1000496358416
👉 Video version of this episode: https://www.youtube.com/@AdvancedTrainings/podcasts
👉 Episode image courtesy Christopher DaPrato @cuptherapy
Sponsor Offers:
– Books of Discovery – Save 15% with code thinking at https://booksofdiscovery.com/
– ABMP – Save $24 on new membership at https://abmp.com/thinking
– Advanced-Trainings – Try one month free of the A-T Subscription at https://a-t.tv/subscriptions/ with code thinking
– Academy of Clinical Massage – Grab Whitney’s free Assessment Cheat Sheet at https://academyofclinicalmassage.com/cheatsheet
✨ Connect with us:
Til Luchau – https://advanced-trainings.com | Facebook | Instagram
Whitney Lowe – https://academyofclinicalmassage.com | Facebook | Twitter
📧 Email us: info@thethinkingpractitioner.com
The Thinking Practitioner Podcast is intended for professional practitioners of manual and movement therapies — bodywork, massage therapy, structural integration, physical therapy, osteopathy, and similar professions. It is not medical or treatment advice.
Full Transcript (click me!)
The Thinking Practitioner Podcast:
Episode 159: Can You Really Palpate the Psoas? (with Christopher DaPrato)
Til Luchau
Welcome to the Thinking Practitioner podcast, a podcast where we dig into the fascinating issues, conditions and quandaries in the massage and manual therapy world today.
Whitney Lowe
I’m Whitney Lowe
Til Luchau
and I’m Til Luchau
Whitney Lowe
Welcome to the Thinking Practitioner
Til Luchau
the Thinking Practitioner podcast is proudly supported by ABMP Associated bodywork and Massage Professionals, the premier association for dedicated massage and bodywork practitioners like you. When you join ABMP, you’re not just getting industry-leading liability insurance, you’re gaining practical resources designed to support your career, from free top tier continuing education and quick reference apps like Pocket Pathology and Five-minute Muscles, ABMP equips to you with the tools you need to succeed and grow your practice.
Whitney Lowe
And ABMP is committed to elevating the profession with expert voices, fresh perspectives and invaluable insights through continuing education courses, the ABMP podcast and Massage and Bodywork magazine, featuring industry leaders like my co host Til and myself, Thinking Practitioner listeners like you can get exclusive savings on ABMP membership at abmp.com/thinking. So join the best and expect more from your professional association. Good day, sir. How are you doing? Good to see you again.
Til Luchau
Hello, Whitney. Good to see you too. I’m doing well yourself?
Whitney Lowe
I’m doing well today. We are getting in toward the holiday season here and looking forward to a little bit of slowing down of some things. But before we do that, we got some interesting things to chew on today. What are we talking about?
Til Luchau
In this episode, Whitney and I take on one of manual therapy’s most persistent and heated questions, can we actually palpate the psoas muscle? If you followed this debate over the past decade or more, you know, it’s become much more than a question about just the anatomy. It’s really a kind of proxy war in our field between pain science and movement educators who caution against making very specific anatomical claims or question some of our explanations for the traditional explanations for the effects of massage and bodywork on one hand and on the other hand, manual therapy practitioners have been working with the psoas for decades, and think of it as both accessible and cleaning clinically meaningful. So at the Fascial Research Congress this year, Christopher DaPrato, a physical therapist from UCSF, presented a fascinating real time MRI pilot study looking directly at what happens under our hands during attempted psoas palpation. And in this episode, Whitney and I break down what that study showed, what it didn’t show, and what it might mean for practice, and stick around to the end, because Christopher joined us briefly for a bonus segment to answer a couple of key questions about safety and tissue behavior. All right, let’s get to it.
Whitney Lowe
That sounds really interesting. You know, if people will recall, we did do an episode on the psoas back on episode 25 I believe it was pretty early on in the podcast about psoas treatment. So that might be one to go back and take a look at as well, or take a listen to. But yeah, this seems like this. This isn’t just a question about anatomy, because the there’s been a pretty vigorous debate amongst all manual therapy fields, you know, not just in our profession, but you see it across the board, in numerous different professions, you sometimes have some more of the focus on kind of, like the pain science movement, focusing on things of, you know, saying that a lot of the things that we’ve said we could do for years maybe not be happening. Maybe you’re not happening like, like, in this instance, palpating some of these deep specific tissues. So this is an interesting study that they looked at here to see, you know, was it possible to palpate the So, the psoas muscle? Because other practitioners certainly been saying, you know, a lot of manual therapy practitioners saying, well, we’ve been doing this for decades, very long time treating this and treating it successfully. So it was an interesting thing to address on So,
Til Luchau
I trained as a Rolfer and worked as a Rolfer. Taught at the Rolf Institute, and that’s central and it’s of kind of foundational to our model. They’re actually touching working with the psoas. And then you got other people. I’ve spoken with like Adam Meekins as well regarded, we can be kind of contentious or near Eliyahu, the body mechanic, insisting. They say, It’s literally impossible to reach the psoas through the abdominal wall or the viscera. There’s just too much tissue in the way they say. But a lot of us say, Hey, I feel something, and my clients improve. So what’s really happening?
Whitney Lowe
Yeah, you know, that’s an interesting kind of debate, and I’d love to hear your take on this a little bit. You know, this, this idea of saying, first of all that we can’t touch the muscle, because there’s other things in the way. The reality, I think, around this is we really can’t directly palpate in. Muscle in the body. We’re always pressing through something to get there. And it seems like that’s kind of like, maybe the debate is a lot about where that line is getting drawn, of what we can actually touch and get to there.
Til Luchau
So there’s that, yeah, there’s that old dnm critique that we’re not actually touching anything other than skin, literally. And this is, this was influencing this argument, but it’s not the same one that they’re saying, No, there’s actually too much stuff to have any direct effect. Yeah, as well, yeah, so well, but this is our first time, yeah, this is the first time anyone’s actually looked at it, or, you know, use an MRI real time to see what’s happening under the hands, yeah. Let’s just see what this debates about.
Whitney Lowe
So this was a team at University of California San Francisco decided to look into this, and this is what was presented, you said was presented at the conference there. So you know, kind of what, what was the sort of driving ideas behind getting this study started?
Til Luchau
I’m gonna speculate some again, I’ve, you know, I saw the presentation, read the study, but I think the not only is the debate interesting, but the psoas is thought to be significant, and that in discussions of hip biomechanics and low back pain is thought to be a key player there.
Whitney Lowe
Yeah, and so, you know, kind of, looking into this, we’ve all heard good bit about the psoas being related to low back pain and things like that. So why? I mean, kind of, why does that matter so much?
Til Luchau
Well, it’s let’s talk about what they actually did the real time. MRI setup was fascinating. You could actually see the tissues moving as pressure was applied. You could actually see the use both the hand and a probe to to see if the psoas could be touched. Not going to give away too much, but they basically compared two conditions. I’m kind of getting ahead into your territory here a little bit. They compared two conditions, the manual self palpation, and this tool, the so right tool. It’s, there’s, there’s a few of those. It turns out that I didn’t realize as I looked into it, there’s a few of these tools that people can lie on, that are thought to can work on the psoas. Not exactly foam rolling. It’s more of projection, but it’s basically this. One’s basically a molded wedge meant to approximate deep anterior hip pressure. And they chose this is interesting too. They chose participants with two very different BMI is to look at how body composition that’s, you know, basically body size to height ratio, how body composition affects asset access. They chose somebody with an above average BMI and a below average BMI, yeah.
Whitney Lowe
And this was interesting, the idea of self palpation. They were having individuals try to palpate themselves. I’m just curious, did he mention it all in the presentation there? How they train people to find this on themselves?
Til Luchau
Well, they gave him some instructions, and they did self palpation, because they couldn’t have a therapist in the MRI with Exactly, yeah, and they wanted a control, or they wanted somebody to compare to someone not using their own hands. And so that was the tool
Whitney Lowe
getting to that. And I believe in the study, they mentioned they were trying to guide them toward the L4-L5 level. So that’s, you know, if you again, sort of recalling our anatomy of the iliopsoas, that’s, you know, the area very close to its attachment side on the lumbar spine, as opposed to, for example, palpating it where it comes more superficial, across the top of the the iliac crest. Any did he mention happened to mention in there why they chose going to that location?
Til Luchau
No, I don’t recall that. If you did, I don’t recall it. That’s, but you’re right. It is really deep there. It’s behind a lot of the viscera, yeah. And it’s, it’s, you know, very far down lower down in the abdominal bowl there. Yeah, I’ll go ahead and share one of those headline findings, the palpation with both the hands and the tool. And both subjects reached to within seven to 11 millimeters of the psoas. That’s like less than half an inch in both cases. So we could see the actual tissues getting displaced, and this the tip of the subject’s fingers, or the tool itself within seven millimeters, sometimes of the psoas. Yeah.
Whitney Lowe
So I’m just, I’m trying to visualize this tool for a second. So is this something they were they were prone or supine. When this tool prone? Why the
Til Luchau
other tool? Yeah, the tool, they were prone, lying on the tool. It’s like a wedge, okay, this wedge into your hip.
Whitney Lowe
And so they’re just kind of like, it’s just, it’s sort of their body weight that gets it to just work its way down into the location there is that sort of the idea body.
Til Luchau
Weight and their relaxation. Yeah, so you rely on this tool, I guess I haven’t actually tried it, tool and relax, and although I’ve heard people say that they’ve
Whitney Lowe
got benefit from it. So one other thing that struck me in reading this, and you mentioned a moment ago, that the tool and the self palpation were getting within a relatively close, different distance. I think they said something like nine or 10 millimeters, which is about a half an inch. For those not on the metric system,
Til Luchau
there seven to 11 millimeters, whatever.
Whitney Lowe
Yeah, right, yeah. Okay, so, so if it’s not touching, if it’s seven millimeters away, does that mean that there’s still other stuff in between where it appeared, the fingers were with the MRI, and the actual muscle itself, if it was not directly making contact, like, are you, is that still, like, internal, abdominal organs, or, you know what, what’s what’s in that gap in that what’s
Til Luchau
in that gap? Yeah, well, there’s skin, there’s abdominal wall, and there’d be some the fascia covering of the psoas. But I think the presumption was the viscera had moved out of the way. He had some clear comments about this, but in his view, because, because one of the critiques of working this was, is you got to poke through viscera, and viscera right soft, so it was displacing, but not he said it in alarming ways. There was some compression against the psoas, but not pushed aside dangerously and not being pinned in ways that he considered dangerous about the image. I mean, seven millimeters is pretty thin. I mean, if we just look at 7 to 11 millimeters, that’s we’re right. There we are literally as close as you could get to the psoas and, yeah, instances. And again, his takeaway was that no that there’s all kinds of visceral movement anyway, normally, and including in normal postural changes or leaning
against something elsewhere, or lying in bed, and that this is well within that range of things that usually happen there.
Whitney Lowe
Yeah, interesting. I think also in there, he mentioned something about shape changes with the iliopsoas that were, was that the result of the pressure being applied in that region there? Or what was it? What were the shape changes?
Til Luchau
That’s significant, because the question, Can we touch it as one thing, but are we actually influencing it as another? And at least again, the MRI is going to show shape. And so the MRIs did show a shape change. You can see the size deflecting around the point of contact in a way. So we’re we are actually moving or changing its shape, rather causing it to deflect or bend around the point of contact.
Whitney Lowe
So, this is interesting to me, this idea of the shape change. So the psoas was responding to the approximation of pressure by changing its shape. Do we know, for example, that this happens with I mean, do other muscles do this, or was this something unique to that? Do you have any there?
Til Luchau
Was there a control on another muscle to see what it looks like when palpated an MRI? Yeah, no, not in this study. And I don’t know of studies, but I think we can presume, I mean, if we just look at our bicep and poke our bicep, it deflects in a way that was similar we saw that so as deflecting on his MRIs, yeah, this guy obviously got a obvious dent in it where I’m poking with my fingers, and I can change its angle and flatten it somewhere, actually bend it around my finger. I think it’s pretty safe to I don’t think anybody’s saying we’re not actually changing the shape of muscles with our touch. Yeah, we can actually, literally see that something like the bicep in this case, now we can see it with the psoas too, right?
Whitney Lowe
So then, you know, kind of taking it back to a clinical perspective, if, if a palpation can get that close to the iliopsoas, and there’s some kind of response in the muscle, which we saw through that particular MRI image. Kind of what does that tell us clinically? What? What does that mean or imply about the attempts to treat it? Angle of pressure, depth, etc. Any thoughts on
Til Luchau
yeah, there’s a discussion about what, what’s clinically useful, but let’s just pick with the stick, with the physics for a second. Are there implications about angle, depth and pressure? It makes me trust my hands more to see images that look like what I’m feeling as a practitioner, for example, just my own subjective sense, and I we all know that it’s sensitive zone and that the pressure, you don’t need a lot of pressure. You need a lot of patience, in this case, and it’s not about scraping around in there and releasing something in the abdomen. Make most of our training in my method, is about taking care and a very gentle touch. So it’s it doesn’t mean it doesn’t change much of that. For me, it doesn’t say, Okay, now we can go in there, raking around, because that word is used to describe sometimes what happens with the psoas and some of the more traditional, direct methods, yeah, raking the psoas, we do. Still gentle, but it’s still the angles we traditionally use, the depth we’re traditionally using, the pressure seems to be appropriate to me, still based on what I’ve seen there. Yeah.
Whitney Lowe
Well, I’d like to hear kind of, maybe your opinion. What do you think after reading this, if there’s the kind of big old just getting a bigger clinical question around this, if we can reach it, if we can do things, if we can touch it and see responses on there. What’s, what does that kind of tell us? Does that change the way you work, or think about working it, or anything like that?
Til Luchau
Well, it, it doesn’t, doesn’t like I said. It makes me trust my hands more, perhaps, because I can now have an image to go with that. But it’s, it’s mechanisms. It’s not telling us much about mechanisms. They’re probably neuromuscular mechanisms, probably reflexes, probably refining proprioception. Now I can feel my back. Maybe there’s some activation, maybe there’s some greater relaxation or differentiation, possible. All those things, yeah, some descending modulation, maybe greater engagement, all these mechanisms we think about and know are probably at work there. And the fact that it’s physically similar, the findings were physically similar with the tool and the hand are interesting too, but the hand was a bit more significant. The tool did have an effect, but it’s again, the physical findings were not as significant as someone palpitating their own psoas. Maybe because they could be more precise, maybe because they could tune their pressure more to what was actually comfortable for them, yeah, but there was a greater visual effect with their hand, with the So, right, so, right, although they were both pretty similar.
Whitney Lowe
I’m curious, to did they mention it all in the midst of that presentation about the training people to palpate the psoas like, I’m assuming that they had a practitioner who was skilled in getting close to that region and doing what they said was locating it to make people have a sense of this is what it should feel like when you get on this thing. Do you know if they did something like..
Til Luchau
there was, there were definitely instructions. But I don’t, I don’t I don’t recall the training they were given. it’s probably instead of.
Whitney Lowe
Well, this was was pretty interesting. I noticed, like in the end of it, he said that the study kind of challenged the assumption that the psoas is unreachable. I mean, just speaking for me, personally, I’ve always had a problem with that idea that it’s unreachable. Because if you can feel the you know, get close in on that area of a person, respond with the sensation of feeling touch, sensations in that area. And then, for example, you know, engage the muscle in resisted contraction, having the person attempt to lift their thigh up, you clearly feel something pop up underneath your fingertips. In many instances. And to me, it’s like, well, what is that? If it isn’t the psoas that’s doing that, the only thing that’s different there is engaging that muscle in a contraction. It seems pretty clear that that’s what’s popping up underneath your fingertips. So I’d have to say, you know, like, I don’t like to put myself in one camp versus another, but I’m certainly more inclined toward the idea of like, this is palpable, just as if any other tissue is, yeah, you’re always pressing through other things to get there, but you can get a response from getting pretty darn close to touching that muscle, I think,
Til Luchau
I’m thinking myself in both these camps as well. And I’m into myth busting and having clear evidence for the things we think we’re doing. I’m also into honoring traditions. And then I’m mostly into, like, trusting my hands when I’m in there and I feel something and someone moves their hip, and I feel that something bulge out at me and push at me. It’s the idea that’s the size is contracting. It sounds pretty compelling. Is a pretty compelling explanation. This, in some ways, is validating what I feel, or it’s giving some hope maybe we’ll see. We haven’t heard from the critics yet. I don’t know what Adam Meekins would say that would be curious to know the critics have this idea that we can touch the psoas. I don’t know how they would respond to this, but it’s some pretty clear evidence that we can actually influence its shape and deflect it and flatten it with our touch.
Whitney Lowe
The thing that that I’m still kind of on the fence about is like, I still feel pretty strongly that we can apply pressure that gives indirect pressure onto that particular muscle. The thing that I still have some concerns about is, is it a good idea? Because I have some doubts about whether or not we can really get all the internal viscera to just squeeze out of the way and that, you know, that’s why I was asking about that seven to 10 millimeter distance there. What is in that distance between where it appeared, the fingers were and the muscle itself? I mean, that still may be viscera that you’re squeezing and pinning against the iliopsoas. So, yeah, you feel the muscle pull up against you. But you’re feeling other things in there as well. And didn’t see side of the way.
Til Luchau
There probably some in there, certainly mesentery. We’re not going to get everything off to the side, But, I made this case in my book a couple chapters about the psoas in there that there’s, I said, I stated, There are very few cases, documented cases of harm being done through manual therapy to people with the psoas. Of course, that got people to send me a couple – there are actual documented cases of people being hurt by manual therapists being too aggressive on their psoas. So it’s certainly we need to be careful. That’s the main consideration here, because there probably is some visceral tissue there between our fingers in the psoas when we’re working there, and visceral tissue is soft, so we need to work in a soft way.
Whitney Lowe
Yeah, and the thing that I didn’t see mentioned this study, I would love to have a chance to ask him about this is that, again, kind of back to what you’re saying. This is definitely not something that is a likely and frequent occurrence, but there’s, I still think, potential harm or problem with vascular structures, especially the external iliac artery, in its proximity to the psoas, which you again, won’t necessarily feel if you’re pressing on it and there.
Til Luchau
Well, you can often feel the aorta on many people, right next to it, thumping away. Yeah, and aortal aneurysm. So something to keep in mind it can get blowouts and bulges, and we don’t need to be poking the aorta a little higher up. You get into all of the vasculature that goes out to the kidneys, and it’s substantial. They filter a lot of blood, yeah, the raking idea is really the wrong one. We don’t want to be plowing through all that vasculature and the ureters run down the face of the psoas, and you don’t want to be tangling enough the visceral people have been saying that for years, be gentle with the face of the psoas, because that’s where the ureters are. And you want to pull them anywhere they don’t want to be either.
Whitney Lowe
So I’m sort of biased on this. I’m curious to hear your thoughts on this as well. You know they’ve talked about, at least in this study of attempting to palpate it near its proximal origin side on the lumbar spine. What do you think about like getting much farther along the distance of the muscle, like closer to where it’s blending with the iliac acid coming across the top of the pelvic bowl, where it seems far more superficial and far less likely to be problematic?
Til Luchau
Like you’re asking, do I think that’s a better place to work it? Or say, it’s actually more sensitive there. People are ticklish there, and you got all kinds of bursa and big old, you know, femoral nerves and arteries right there anyway, yeah. And so, yeah, I’ll do some work there, especially if there’s like, a pinching or an impinging feel, yeah, related to hip flexion or internal meditation, I’ll often pay some attention to that zone, but there’s mostly about getting the tissues to slide around and slide out of the way when the bones moving. Yeah, I think there. I’ve never tested this. I should do this. I should, like, work somebody in their hip and work on their other side and their lumbars, the psoas. And see, you know, makes a bigger difference for back pain, but it’s a pretty clear factor in, at least in the improvement of people’s back pain during the session and as they get up off the table. Can help so many people’s low back pain by working with their psoas. I in the lumbar. I haven’t tried that at the front of the hip, that might be interesting.
Whitney Lowe
That kind of takes us kind of back to sort of key clinical takeaways here. When you heard this presentation live, and also in sort of reading this again, like, what were your big takeaways from that?
Til Luchau
Well, again, we can trust our hands if we are working so as and feeling it. Yeah, there’s some images of things doing just that we probably aren’t imagining it, like some of the critics have said, or or probably not, delusional. It doesn’t, it doesn’t clear up. Like, what are the mechanisms involved? But we’ve done a lot of thinking and work about that that we’re we may be refining proprioception as much as freeing up the fascia. There may be direct tissue effects, but the neurological ones are at least a significant, if not more, yeah, and it’s still a sensitive zone. We’re not, again, Dr Prado’s estimation, we’re not dangerously displacing or impinging viscera, but we’re working right there with viscera, nerve, lymphatic vessels, all that we need to be gentle and careful in the belly, for sure.
Whitney Lowe
I think for me, after reading this and just sort of echoing what you said there, if there’s any key takeaway, it’s that the quality of that touch matters a whole lot, I think. And so what you’re saying there, it’s, there was a phrase that a friend of mine mentioned years ago that I just always loved. We said like, I’m I work constantly with ruthless compassion. And I think that that whole mindset of any time that you’re doing something that that potentially deep and unusual. It’s an unusual sensation to have your abdomen, you know, penetrated that deeply by manual, you know, techniques and things like that. That sense of safety, context and gentleness to your touch is going to be absolutely critical. That’s right,
Til Luchau
that’s a lot of what we’re transmitting with thank you for that, and keep those fingernails short, all right, and stay in contact with your client. Talk to them, right? So I did get Dr DaPrado on the line very briefly. He wasn’t able to make it for a discussion, but he gave me his opinion on a couple of the questions that we left hanging. Why? Why did he choose that level, and what’s his opinion on the abdominal displacement and safety concerns? And he had some good things to say. Let’s hear from him.
Christopher DaPrado
Hello, hello. Can you hear me? Hello, yes. Feel free to ask any questions that you have right now.
Til Luchau
Well, here’s here’s one. Why did you pick L4-L5?
Christopher DaPrado
So easy locate? Because you can find the l3 four interspace based on the iliac crest, pretty easily, and then palpate down from there. And it seems to be an area that is easily to palpate above the iliol inguinal ligament on most humans, the way the pelvis is oriented. So because of the space of the pelvis, the ease of palpation proximity, that’s why we chose that.
Til Luchau
Okay, that’s pretty clear. And then my memory from your presentation was that you didn’t,your opinion was that there, you didn’t think there was like dangerous abdominal compression or displacement, that it seemed kind of within the range of normal. Is that accurate?
Christopher DaPrado
Yeah, I think if you clear your precautions in terms of the patient populations you have, and they don’t have irritable bowel or bladder issues, or, you know, inflamed uterus or ovaries, you know, things that are in that region that can be, you know, irritable even endometriosis could be like something that could be a problem for some individuals, but as long as you screen through that, it’s pretty safe. And I think, you know, like you could see on the MRI, those visceral contents just slide so much easier than we give them credit for.
Til Luchau
And that’s that’s happening when we’re palpating or working there too.
Christopher DaPrado
Yeah, exactly. So you know, as long as you’re clearing the inflammatory process that is that might be going on in that area, I think it’s pretty safe and pretty effective. And again, in our two patients, no adverse events were recorded, except for, you know, being in an MRI for 20 minutes while you’re getting pressed on at different pressures. So it’s just one of those things that’s not comfortable to do in an MRI, but in a clinical setting, you know, it should only take two to four minutes, so it shouldn’t be that long.
Til Luchau
No, well, it was such an interesting study. You did such a great job with the study and then with your presentation really compelling.
Christopher DaPrado
I mean, it was simple but effective, right? It was a very easy study to do, but you have to make sure you run the steps and try to be as consistent between each subject as possible.
Til Luchau
Thanks a lot. Bye, for now, you too. Bye, bye. We’ll link to this study in the show notes. It has some of these images. You can actually go there and see it for yourself. And thanks to Dr DaPrado for being able to join us there briefly. Sorry we didn’t have him for the whole call, but I’m glad he got to weigh in on those questions. Whitney, how do you want to wrap it up? Indeed.
Whitney Lowe
Yeah, this was an interesting look at the psoas, and I think I would hope that we will get some additional that this maybe be a seed planted for some other additional explorations of that they can look at some of these clinical elements, as well as some of the other deeper anatomical elements about accessing the muscle, but a fascinating first time exploration of this that I have seen in any of the research literature. So eager to hear that coming out there. So with that in mind, we would like to thank Books of Discovery, who has been a part of the massage therapy and body work world for over 25 years. Nearly 3000 schools around the globe teach with their textbooks, e textbooks and digital resources and Books of Discovery likes to say that “Learning Adventures start here”, and they see that same spirit here on the Thinking Practitioner podcast, and are proud to support our work, knowing that we share the mission to bring the massage and bodywork community thought provoking and enlivening content that enhances our profession,
Til Luchau
this is kind of cool. Instructors of manual therapy education programs can request complimentary copies of their impressive textbooks to review for use in their programs. Listeners like you can explore their collection of learning resources for anatomy, pathology, kinesiology, physiology, ethics and business mastery at books of discovery.com where listeners to our podcast save 15% by entering “thinking” at checkout,
Whitney Lowe
and thanks to all of our listeners and to our sponsors, you can stop by our sites for the video, show notes, transcripts and any extras. You can find that over on my site at academyofclinicalmassage.com, and Til where can they? Find that for you
Til Luchau
advanced-trainings.com. Is our website where we post all those things too, and we want to hear from you listeners of your ideas about the episode, your input about other topics or guests. We could have just email us at info, at the thinking practitioner.com or look for us each on social media and on YouTube, I am at Til Luchau. Whitney, where can people find you?
Whitney Lowe
also under my name on social media, Whitney Lowe, Thanks again, everybody for being here. We really appreciate it if you could take just a few moments and rate us on the Spotify or Apple podcasts, as it does help other people find the show. So please just take a few seconds to do that. And thanks again, so much for listening. And we look forward to sharing some other things with you in the future. So if you will also share the word, tell a friend, and we’ll see you in the next episode.
Til Luchau
Thanks, Whitney, see you later. All right. Sounds good to see you.

Live Workshop Schedule
Stay Up to Date
…with the Latest Episode, News & Updates
Get our free Techniques e-Letter
You’ll occasionally receive the latest schedule updates, tips, secrets, offers, resources, and more.
Check out our ironclad privacy and SMS policies. You can unsubscribe/stop at any time.
This Month’s Free Online Course
Our gift to you. Includes CE, Certificate, and Extras.
Follow Us
Join us on FaceBook, Instagram, Twitter and YouTube for information, resources, videos, and upcoming courses!





0 Comments